MICROSCOPY – The Swamp III / day two

The water is somewhat clear, with much of the material previously in suspension fallen to the bottom.

Day two – 6.IX.2020

Macro:

A few (5maybe 6) unidentified beetles cca 5mm long. One seems to have eggs on its belly. They bring bubbles of air underwater and stroll upside down on plants. They climb on top of each other (3 at a time) and relax on the bit of wood protruding from the surface of the water. Some lay motionless among the plants on the bottom.

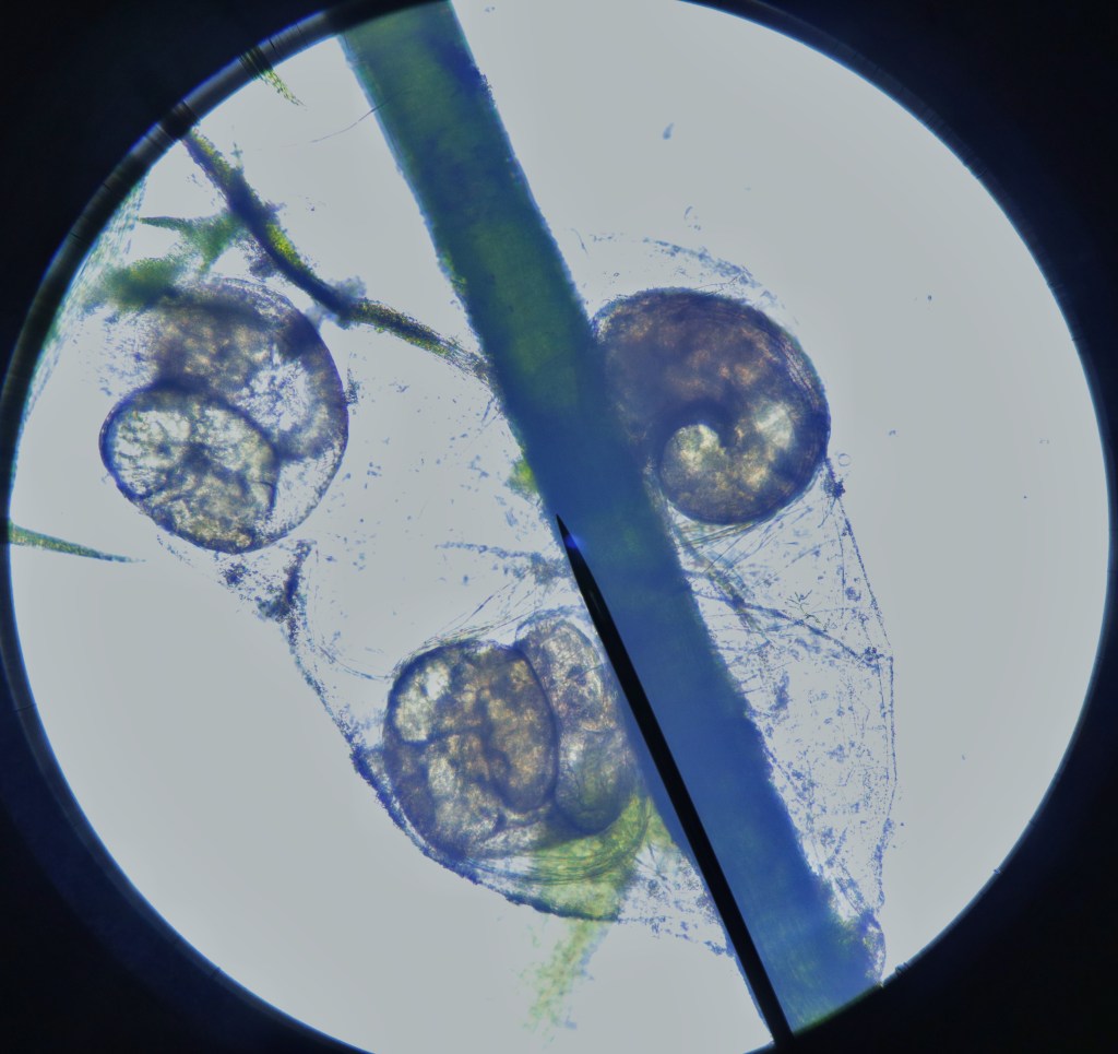
A snail, possibly more:

Any what I believe to be mosquito larvae. This mens I have to seal the container and find a way to gas them.

The beetles carrying water bubbles underwater:

I saw nematodes, a considerably larger snail-looking creature, green snails, what looked like paramecia and the crustacean-looking things.

Micro:

MICROSCOPY – The Swamp III

September 5th, 2020. Day one.

This is a closed ecosystem that has little to no exchanges with the outside environment. Collected September 5th, 2020 from a 20 year old fishing pond (ex-quarry).

The Swamp III -sealed jar with pond water, plants, decaying organic matter and a pebble substrate

Contains: cca 2,5l pond water. pebbles, water plants and cca 0.5l muck scraped off the bottom.

River pebbles and water plants

A selection of the water plants collected from the pond:

Water plants from the pond

LED lights shining at 370 lumen.

The light setup

Week 9

The jar has been placed outside now for 3 weeks. Weather is uncommonly warm and no rain. Water level dropped several times and was re-filled with bottles still water, tap water (pretty stupid, because it’s full of chlorine) and sparkling water. It never fell below 50% of the volume.

Photo jar week 9

A water sample was collected today from a freshwater flowing lake (particularly clean these days), together with a small clam, algae and muck scraped-off a semi-submerged rock.

Sample contains oligochaeta, nematodes

Week 6

Snails everywhere. I counted 30 just on the exterior wall of the jar. They range from under 1mm to about 6-7mm for the largest ones. They all seem to be of the same kind – the reddish, almost transparent ramshorn snail.

a bunch of Ramshorn snails

The plants – or plant, rather – is thriving, with many stems crawling out of the water on the jar walls and a small forest emerging above the water level in the center of the jar. The long thin spirogyra algae have filled almost all volume which is not already occupied by the water plant.

The water plant emerging from the swamp
The water plant crawling up the jar walls
The jar getting some UV on a sunny day in March

The cyclops are swimming about happily, have spotted females with egg-sacks. Surface tension makes it that a small pellicule of water crawls up the side of the jar – the volume cannot be more than a square mm, if that. I could see with the loupe nematodes, water fleas, snail eggs and many round, perfectly formed coleochaetales algae. I really have to find a way to take pictures through that lens. The magnification is just right, in between naked eye and microscope observation.

Week 5

Water level had dropped by cca 2cm so I topped it off with alkaline bottled water. The plants are well and alive, have seen nothing changing colour or otherwise rotting. Little bubbles of gas have formed in between the weeds, like marbles. Am wondering whether it’s oxygen.

One way to know would be to capture a reasonable volume and shine white light through it to see emission and absorption lines – but that would be significantly more involved than it sounds.

I can see no dead bodies of organisms on the surface, on the bottom or in between the weeds. The mosquitos I killed have disappeared.

Gas bubbles in the water plants

I dropped a crumb of bread in the water in an attempt to lure the snails so I could count them. It somewhat worked – there were snails feasting on it for a couple of days but no way to have them all there at the same time. The bread was broken down into a hazy mist which smaller organisms are probably eating now.

There are 3-4 large snails measuring now about 4mm. Many smaller ones ranging from <1mm to about 2mm. They are so small and light that they can actually slide about while upside down, using the surface tension on the water surface.

The water plant has now emerged and there are brown hairs growing out if the stem – i suspect it’s some form of root. They are only visible on the part of the plant which is not submerged. Maybe I should put a stick in the jar with part of it out of the water so things can crawl up on it.

Very happy to have seen a couple of water fleas, quite large and active. Cyclops are dashing around as usual (still no egg-bearing females).

One month

The Swamp II – one month / March 2020

An overview of the Swamp at the end of the 4th week.

This also marks about 5 months since I started the jar in the first half of October 2019. It originally contained water from a very large freshwater (flowing) lake and from an old quarry, now a fishing pond (about 20yo ecosystem), as well as some algae. It was kept outside October to January, then brought in at room temperature (cca 23 C) on February 10th and given about 400 lumens 24h a day.

In February water level was about halfway, at the 3cm mark; can still be seen on the side of the jar by the line of algae that grew where the water line used to be. I added bottled water up to the top of the jar (6cm mark). The water was clear, with very little algae and no visible living organisms. Microscope inspection showed rotifers and small cilliates.

The Swamp as it came out of hibernation
February, 2020

A week later I seeded the jar with fresh (collected in the second week of February 2020) samples from the fishing pond (slime, dirt, water plants, algae) and plans that grew in a fresh water source that I found on the side of a hill.

Removed the rotting tree moss
and added algae and water plants

I have been giving it light and keeping it warm ever since. This is the situation in the Swamp after one month.

PLANT LIFE

There is one dominant macro species: some sort of water plant that seems to thrive without any soil. It has many parallel stems a couple of mm in circumference, each with leaves growing on all its length.

The water plant.
Growing happily and now rising above the surface
The large leaves provide a perfect surface for eggs
Good plant.

The most abundant of the algae is spirogyra, the very fine tubular algae with their spiral coil of chloroplasts that look like gelatinous mist in the water. I had also noticed segmented algae, somewhat thicker than spirogyra and without the coil, having neatly separated chambers filled with chloroplasts.

Spirogyra

These algae are long tubes, incredibly fine and stick together like hair, making for some very fine curling locks, as can be seen below. It also tends to occupy all the volume it is allowed, especially when grown in a somewhat controlled environment like my jar.

A curl or Spirogyra cca 2cm long
The other kind of algae growing in the jar – segmented and with no spiral

Something interesting I found – what appear to be parasitic algae (maybe some form of symbiosis?) growing on the leaves of the water plant. The algae are tubular, straight with no ramifications and contain chloroplasts.

Parasitic algae growing on the leaves of the water plant

Microscope inspection shows the pretty Coleochaetales with its cells disposed in a spiral as well as the desmid Cosmarium. I also spotted Merismopedia, neatly arranged in rows.

Coleochaetales
the desmid Cosmarium

The plants produce significant levels of oxygen, seen in the little bubbles that form among the water plants and algae.

Hanging in between the water plants I found little dark spheres about 1mm in diameter that, upon inspection, revealed to be sacks full of strange algae (?) composed of spherical beads:

A sack of what looks like algae
A sphere of algae

Of the larger living things, must first be mentioned the snails, the largest sporting a whopping 5 or 6mm diameter shell. Many baby snails around, they seem to be reproducing abundently. I have seen a group of 7 hatching.

Snails hatching
I believe this to be the same egg sack at an earlier stage of development

I’ve seen a few Oligochaeta, rather large in size (up to 5mm) and some larvae that looked somewhat similar to them and were of comparable size.

Water fleas have been a pleasant surprise – only noticed them a few days ago. Small and with an almost transparent shell, they move somewhat slower than the cyclopes, which are abundant and slightly larger in size, at about 1mm.

Cyclopes (cca 1mm)

One morning I found mosquitos and their larvae, but I quickly gassed and disposed of them (6 or 7 mosquitos, about 5 larvae). Pretty colours, yellow with black dots.

A mosquito that hatched in my jar
Eggs (?) on the dead mosquito’s wing after a few hours in the Swamp

Nematode worms of different sizes are also present, from the smaller, more agitated ones, to the larger, slower ones.

Still in the macro realm, I found an escape-pod from a colony of Bryozoa: it’s a fortified egg that survives dessiccation, travel and all sorts of rough environments. I am insulted.

A Bryozoa statoblast – armored escape pod
Bryozoa ststoblast

There are – and have been throughout the winter – cilliates and rotifers.

A very small cilliate

It is virtually impossible to collect the same sample again if one wishes to observe its evolution. As such I decided to place two cover glasses in the jar – one is (still) on the surface, and one is submerged. I am hoping to monitor the deposits that will form. Maybe I’ll try coating them with different nutrients to see how things develop on them.

Cover glass placed in the jar to collect deposits

Week three

Macro organisms have developed in high numbers. I now have a hefty population of Cyclops of all sizes. Have not yet seen egg-bearing females with the distinctive sacks next to their tail but I am sure they will appear.

Catching this guy in the pipette and transferring him to a slide without losing, killing or otherwise maiming him was quite a challenge. Illumination is from above, so the eye would show nice and red.

The round organism below is Coleochaetales, and there appears to be an agglomeration of eggs (?) right above. On the left, a rotifer is stuck next to an air bubble.

Upon inspecting the algae in the jar I noticed a slimy blob attached to a stem, of a slightly darker colour and clearly not part of the plant. It was a bunch of fully formed snails still in the membrane of where the eggs developed.

So here are some snails hatching:

And something unexpected – a travelling wave of bacteria (?). Rotifers and other cilliates happily feasted on them.

I have to find a way to re-visit the same sample. For example the eggs below will probably hatch – if they haven’t already – and I have no way of knowing what organism it was.

Week two

It’s been about a week since I brought goodies to the swamp jar and – behold – there is much activity. Macro at that, too – quite a few creatures can be seen with the naked eye: some segmented worms, the snails I had previously seen, cyclops (happy they’re here – I like these guys with their bright red spot) and what I suspect are mosquito larvae that seem to have hatched recently and are jerking around just below the surface. At least three fully grown mosquitoes are flying around in the jar. These I don’t like.

Large worm found at the surface after having switched the lights off for 8h

To my great surprise I found some mosquitoes and these I believe are the larvae hatching:

I started giving the jar non stop light about a couple of weeks ago – not particularly bright (470 lm), but constant. The idea is for the plants to properly oxygenate the water and sustain the living organisms. I switched it off for about 8h during the night thinking maybe some things only happen when it’s dark and I found many many worms on the surface, I think gasping for air. The snails were on the surface as well so I assume the plants and algae consumed most of the oxygen while the light was switched off. The sealed jar I had started last year died this way – three days by the window instead of under a lamp. I may switch off the light at some point again, but waiting for warmer temperatures and more sun during the day – it shall sleep outside because I don’t want *anything* crawling out of the jar and into the house.

I need to remove the mosquitoes so I can open the jar again. I’m thinking of knocking them out with smoke.

They were knocked out in less than 15s. Started to come to, somewhat, after about half an hour or so but I believe the damage may have been irreversible. Now they’re snail food, and that is very well.

Left, middle: larva and adult at 40x
Right: sample with scale in mm

In addition to the water plants and the two types of algae I had observed earlier I was pleased to find microscopic algae of different shapes:

And the long, pretty algae with the spiral chloroplasts:

Long, tubular algae with spiral chloroplasts

Catching a cyclope in a pipette is not the easiest thing, but great success was had, and here he is stuck under a cover glass for your inspecting pleasure.

And another sample of particularly photogenic algae:

Week One

Following a trip to the lake in which i usually go fishing, i came back with goodies to add to the jar. Scraped some muck off submerged stones, as well as from a dead branch. Also collected a sample of green algae developing about half a meter underwater close to the shore.

The Swamp II after 4 months, initial sample
This picture was taken the evening when i first brought the jar inside and started giving it light. The water is clear, no particles in suspension, very little algae confined to the old water line on the inside of the jar walls.
The Swamp II – after the first add-on
Water is no longer clear: 24°C and 24h light triggered algae bloom

As the jar is already full, I only took a very small water sample, maybe 10ml or so, with very fine gravel (.5cm3). The lake is an old stone quarry, abandoned 20 years ago and transformed in a bird reserve / fishing pond. It’s close to a rather large river that runs nearby and I imagine there are exchanges between the two bodies of water, maybe via underground waters. I am led to believe this because they release trout in it, which needs high levels of oxygen, usually insufficient in stale pond water full of algae.

This green moss-looking plant was emerging from the brown dead grass on the shore, so I took a handful with the aim of increasing the oxygen production in my jar swamp. Not sure this will survive given the fact that it’s fully submerged and has little to no soil. In the worst case it will decay and provide nutrients..

Moss-like plants that grow on the shore

Riding back there I found a fresh water source on the side of a hill – collected some soil and some of those undulating water plants that move suavely with the flow. After closer inspection I saw a plastic tube that was channeling the stream – I just hope it’s not pesticide-infested irrigation water as there are some vineyards on the surrounding hill sides.

Water plants from a fresh water source – I am hoping they will provide the required oxygen for all my creatures living in the jar

Given the little space I have available, I decided to remove the tree moss that was rotting in the jar. The mass of long, thin algae was particularly difficult to separate from it, but I managed to conserve most of it. I also left some moss, as when I first collected it I had found a water bear, which are undoubtedly among the coolest creatures alive.

While transferring all of the above to the jar, I took samples for closer inspection – algae, moss, soil, water and some of that decomposing muck I had scraped off the bottom. Living things were clearly visible to the naked eye and I made sure to suck up some of them in my pipette. An earthworm (would have been perfect for fishing – next time I know where to look for them) was among the moss so i mercifully put him in one of my flower pots outside.

One remarkable thing that I found was a 5mm gelatinous blob that has the consistency of snot (almost wiped it off first I saw it).

The Eggs

This turned out to be an egg-sack containing a dozen or so eggs, which are very much alive. 400x magnification shows the embryo being composed of several cells, tightly stuck together to form a slow-moving sphere.

8x speed

Normal speed

I’ve carefully placed it back in the jar and marked the spot so that I can remove it for future observations. Bets are open as to what will hatch.

In the small sample of water I collected from the pond there were two very agitated creatures, a few millimeters long, that i first mistook for nematode worms. I had inadvertently trapped one under the slide glass, so it did not move at all and could thus inspect the digestive system.

Oligochaeta

Inspecting the deposits on the walls of the jar I found yet another sack of eggs, significantly smaller and with only a few eggs inside. Looks flat.

Eggs inside a membrane stuck on the inside of the jar walls.
Probably snail eggs.

Day one

Meet Two of Three – the 2mm red snail with three loops. He feeds on the algae that grow on the inside of the jar. He also eats rotifers.

He could have been there all along, hiding in the moss, but only noticed him today. I may have spotted another, but am not sure. This snail is the only organism large enough to be seen with the unaided eye.

Under the microscope I saw ciliates – rotifers to be more exact. The highest concentration is just below the water line, among the algae that grow on the inside of the the jar walls. The vast majority are well active, moving around or clinging to some invisible speck with their split foot. I saw some which were still in standby mode, tucked inside the shell, cautiously probing outside then quickly retreating again.

I also saw a different, smaller organisms – probably ciliates as well, with what looked like whiskers both in front and in the back. Two nematode worms, jerking around, about 1-2mm in length.

There are algae of at least two sorts: the circular, spot-like colonies where the initial water line was, and the long filaments with a really pretty spiral of chloroplasts. I could see no segments. These are light green and occupy most of the water volume.

The tree moss is brown and doesn’t seem alive. I’m, hoping there are spores and various cocoons inside to populate the ecosystem. I saw a water bear in that moss when i first collected it, so there is hope.

The jar is getting 24h light.